SUCCESS STORIES - MEN

Patients Name:
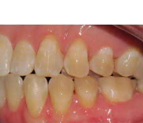
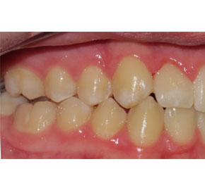
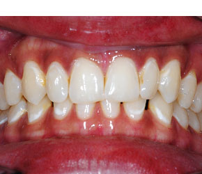
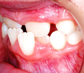
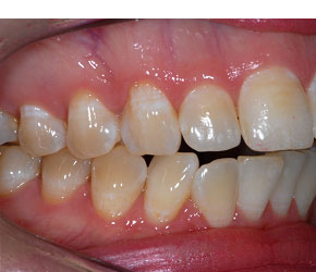
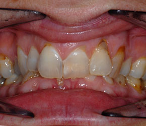
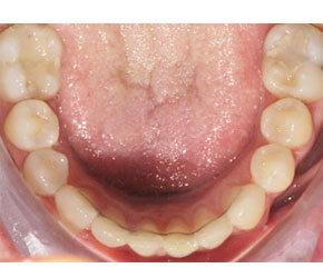
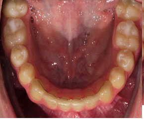
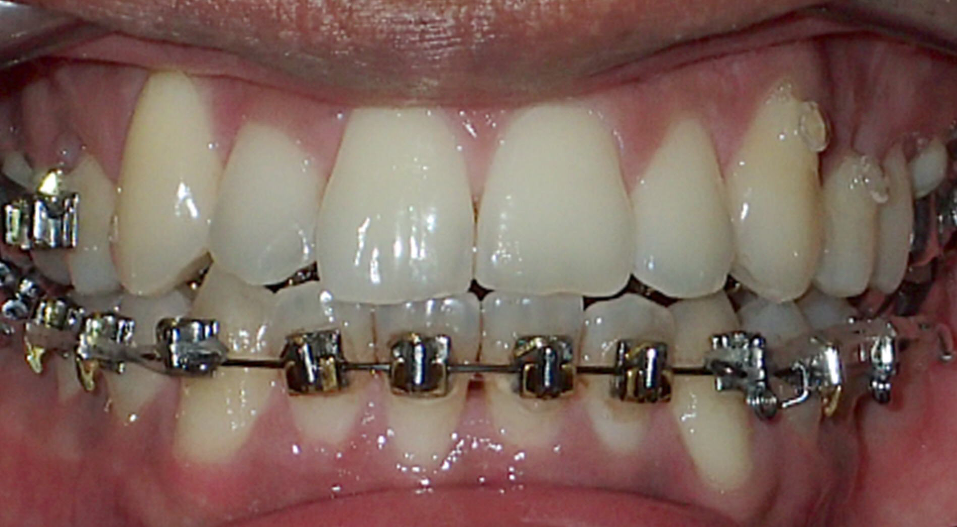
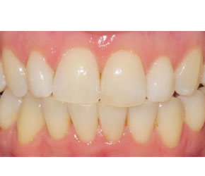
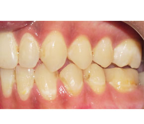
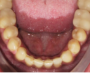
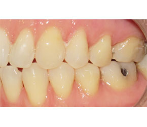
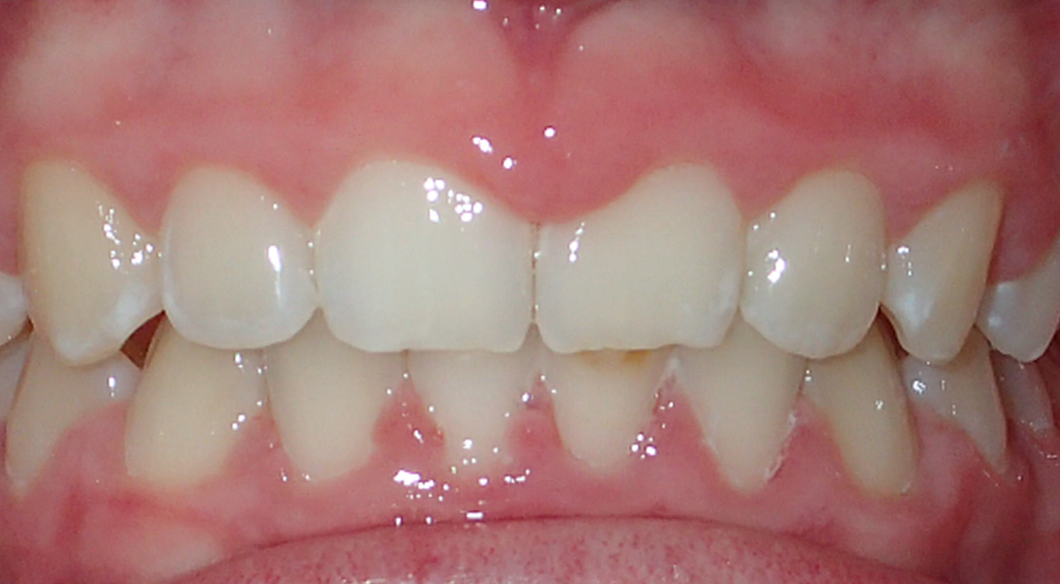
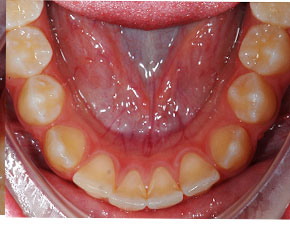
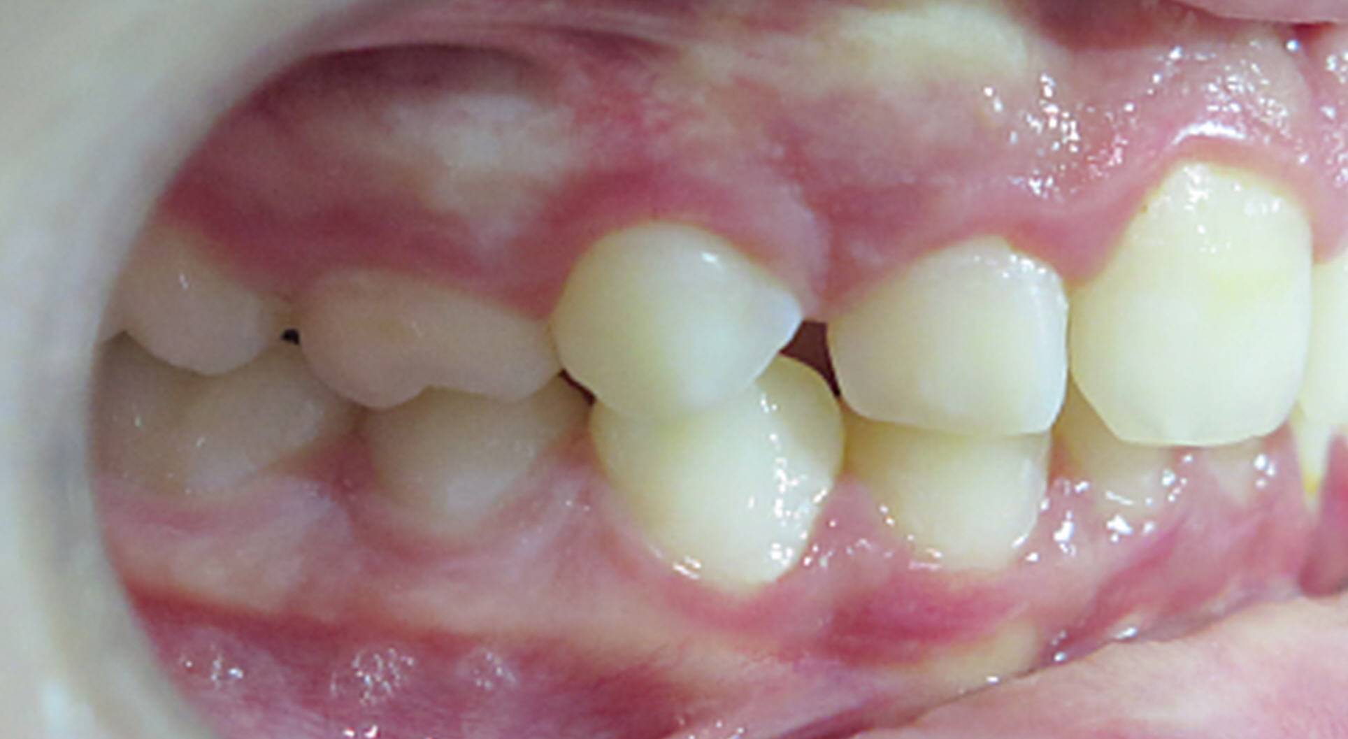
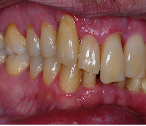
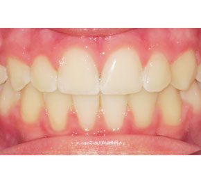
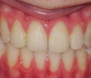
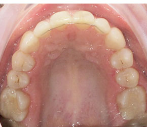
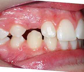
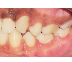
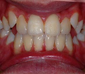
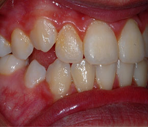
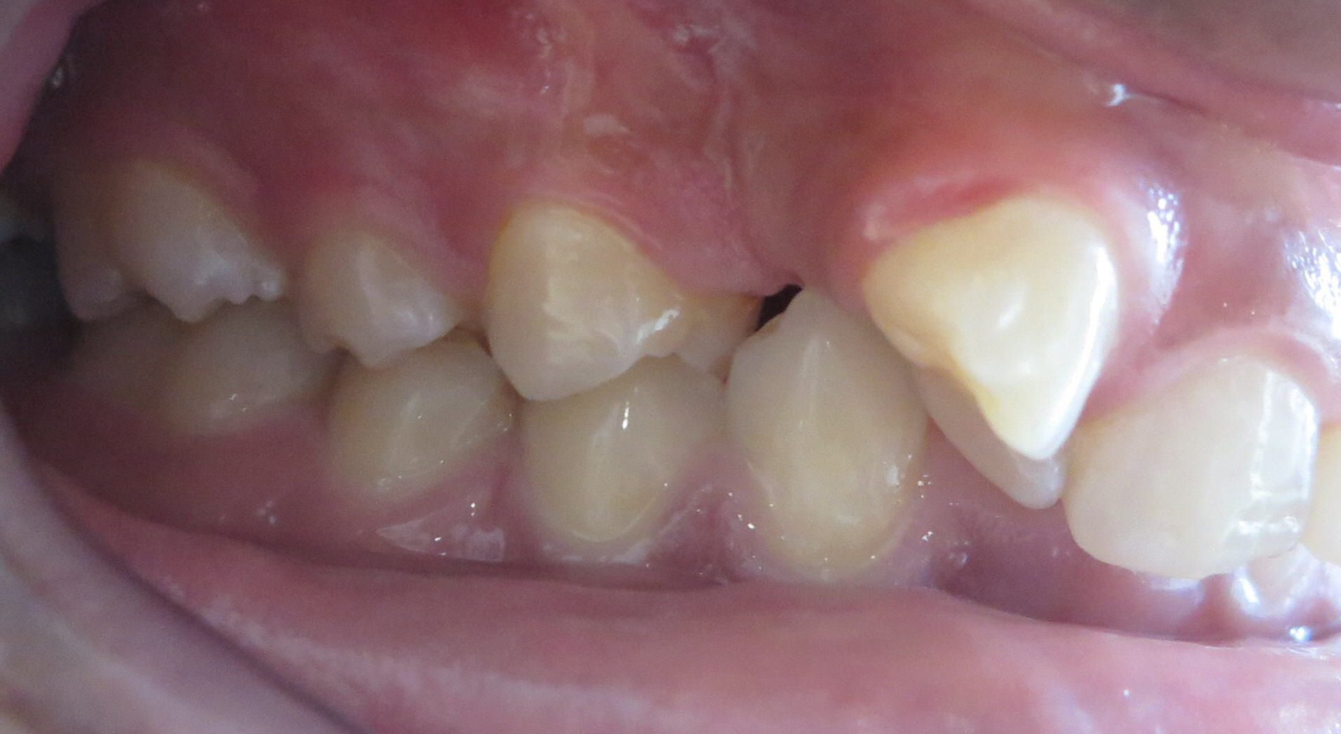
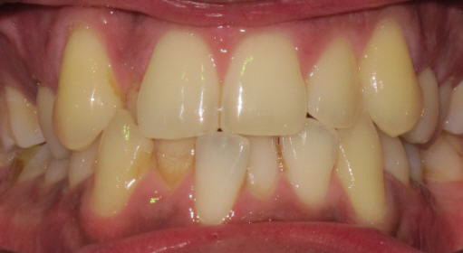
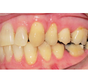
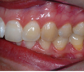
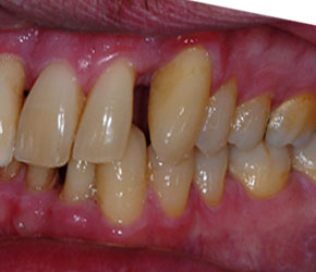
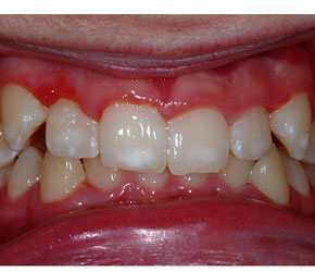
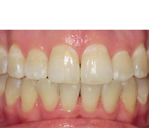
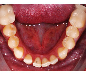
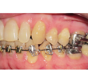
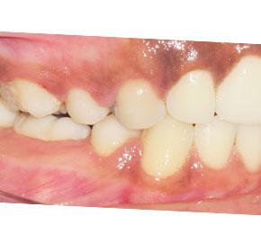
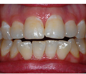
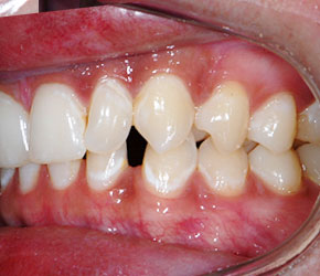
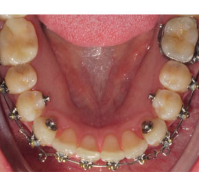
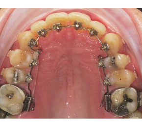
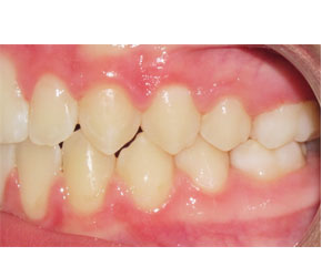
Glen Tshweu
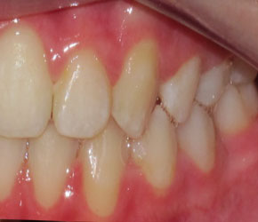
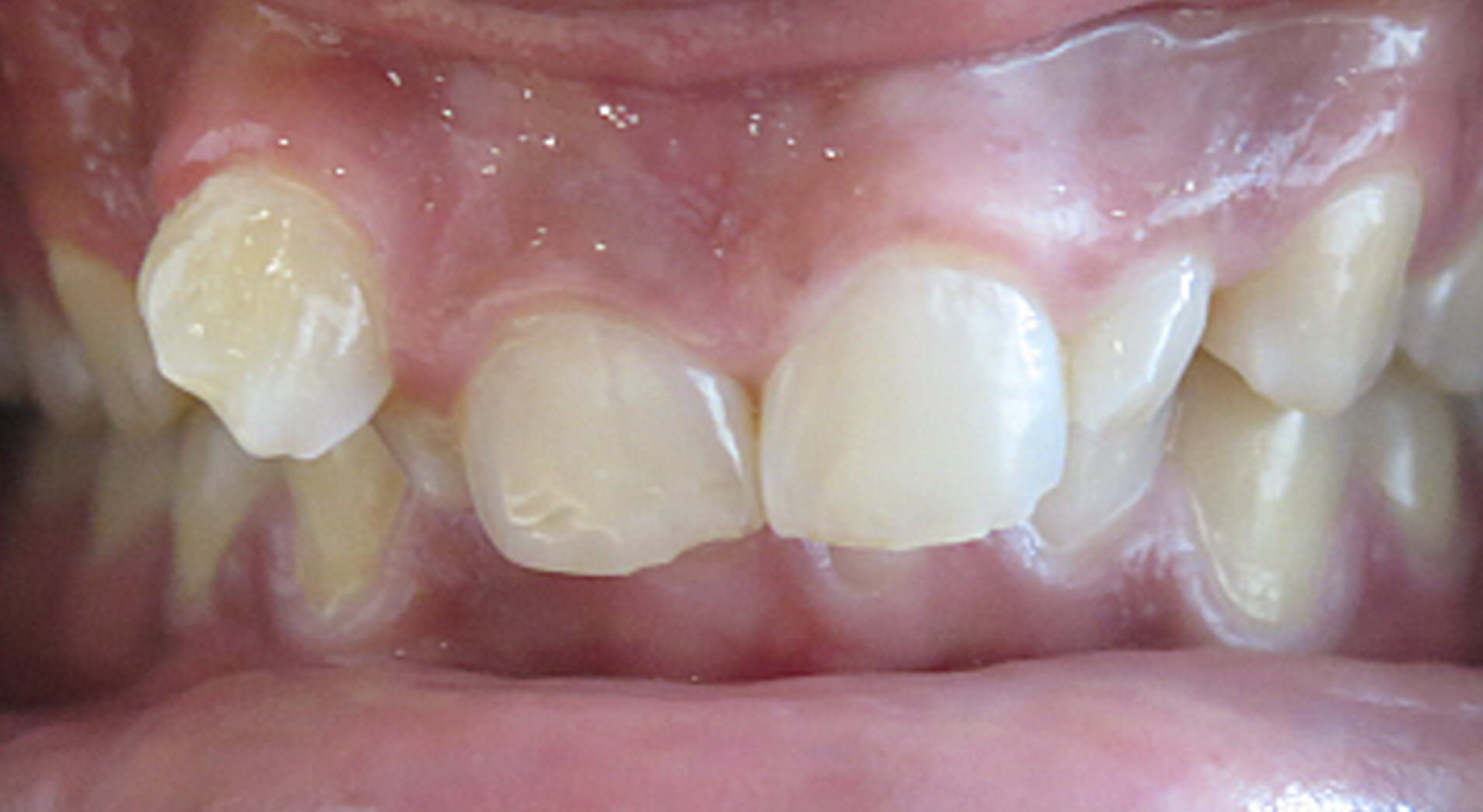
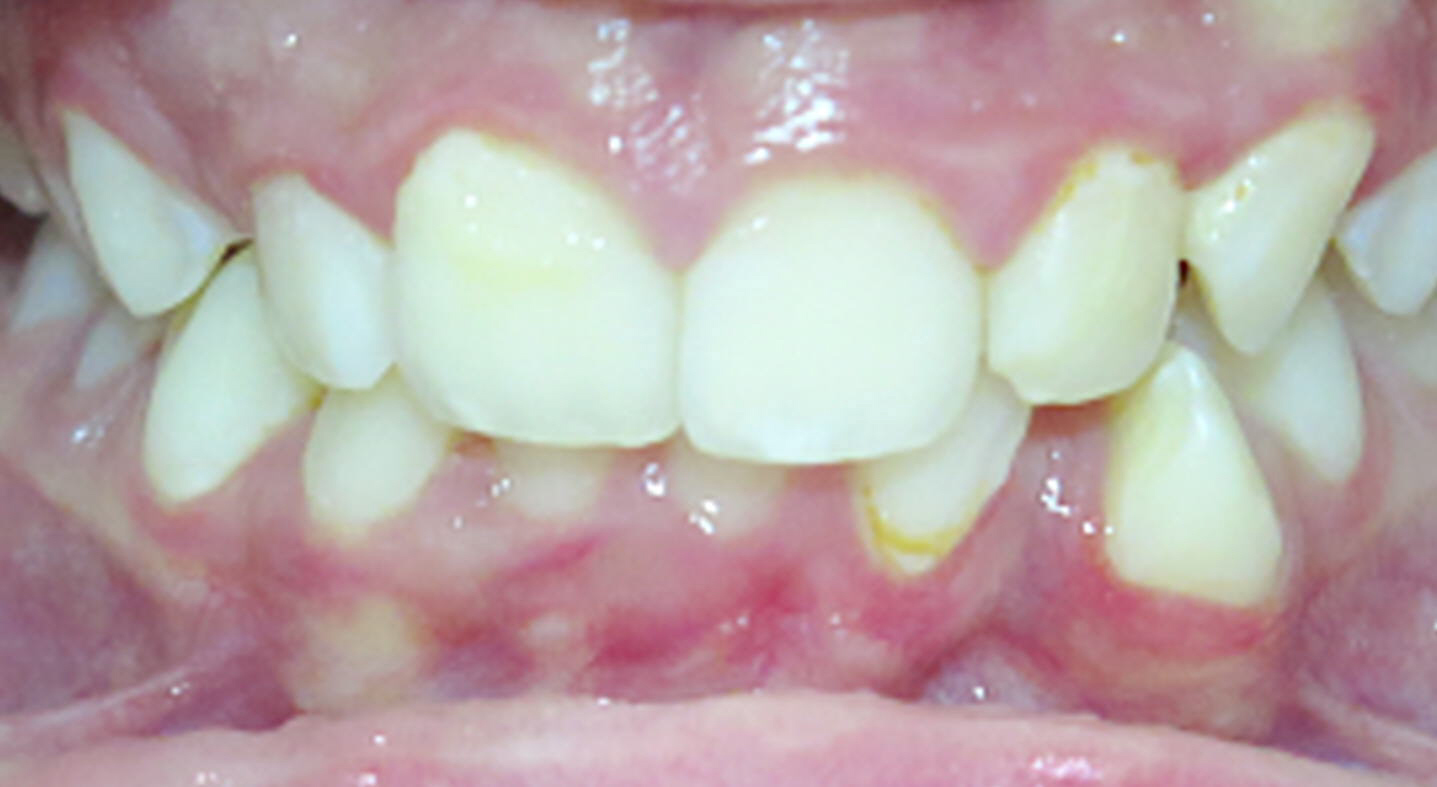
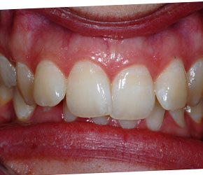
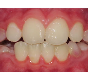
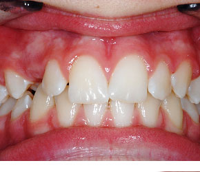
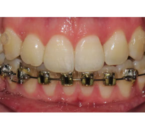
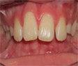
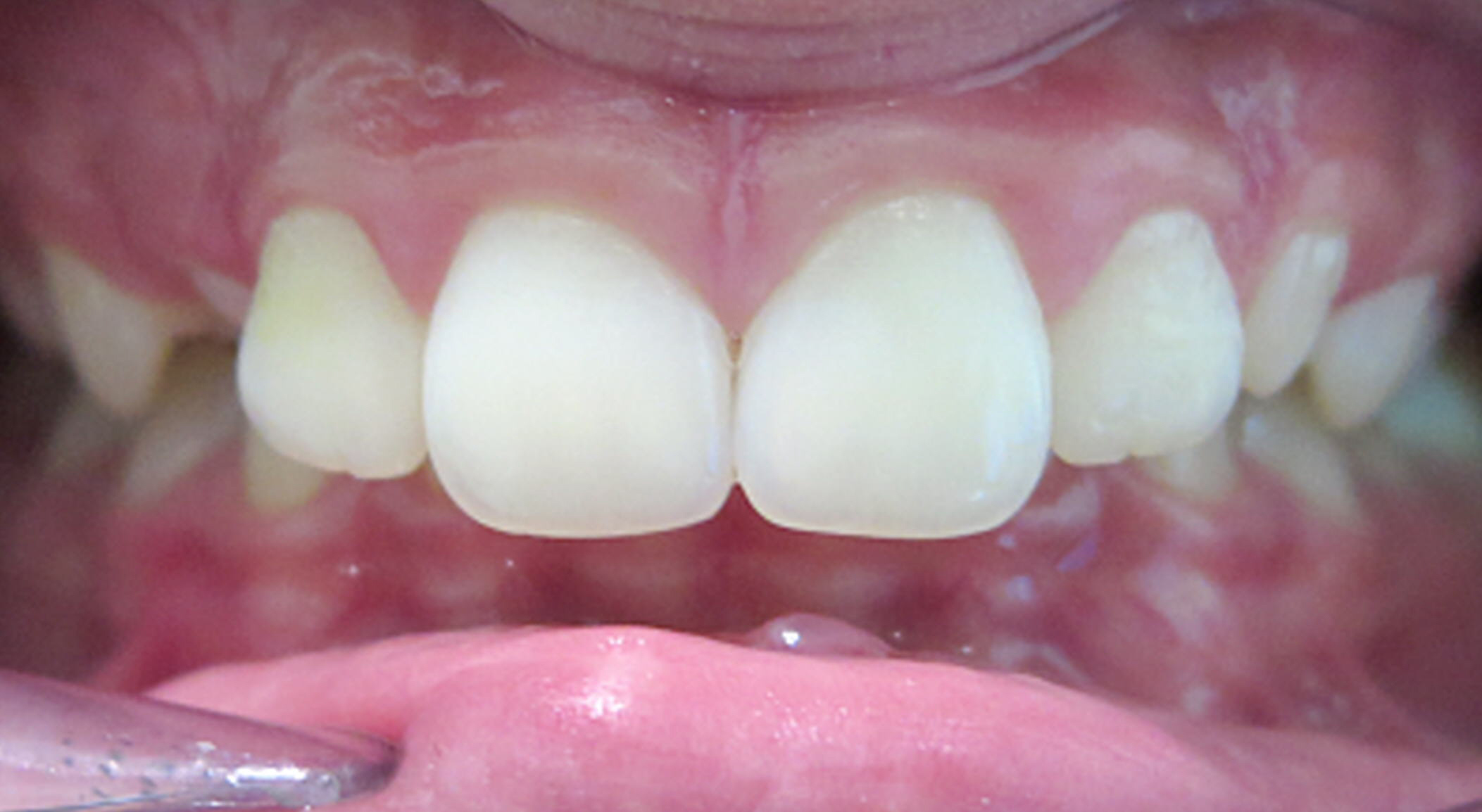
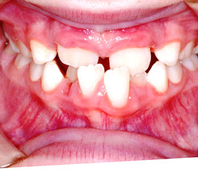
Before Front
2015-02-11
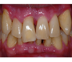
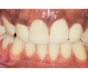
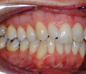
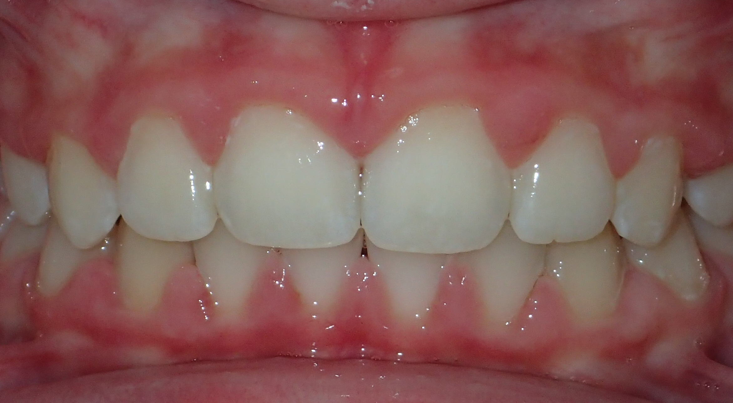
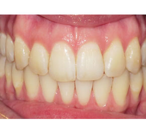
End Result Front
2018-02-19
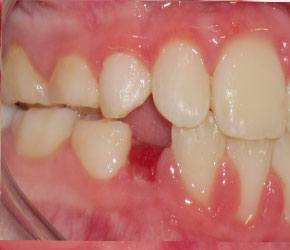
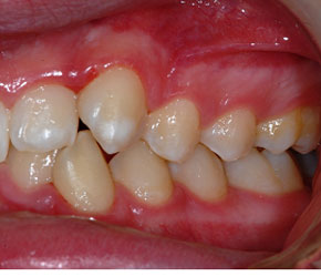
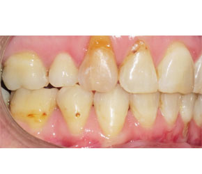
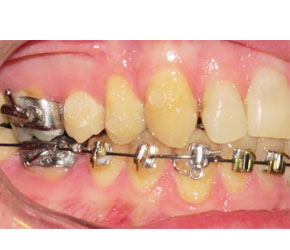
Before:
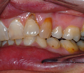
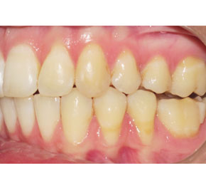
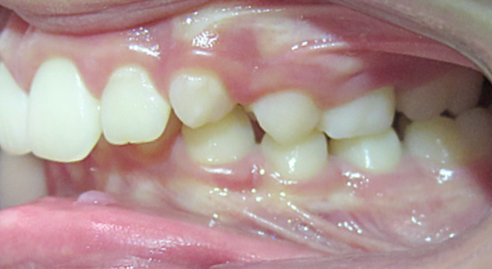
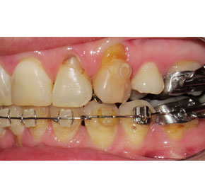
Side View
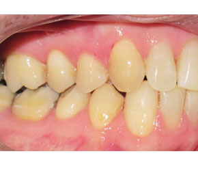
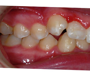
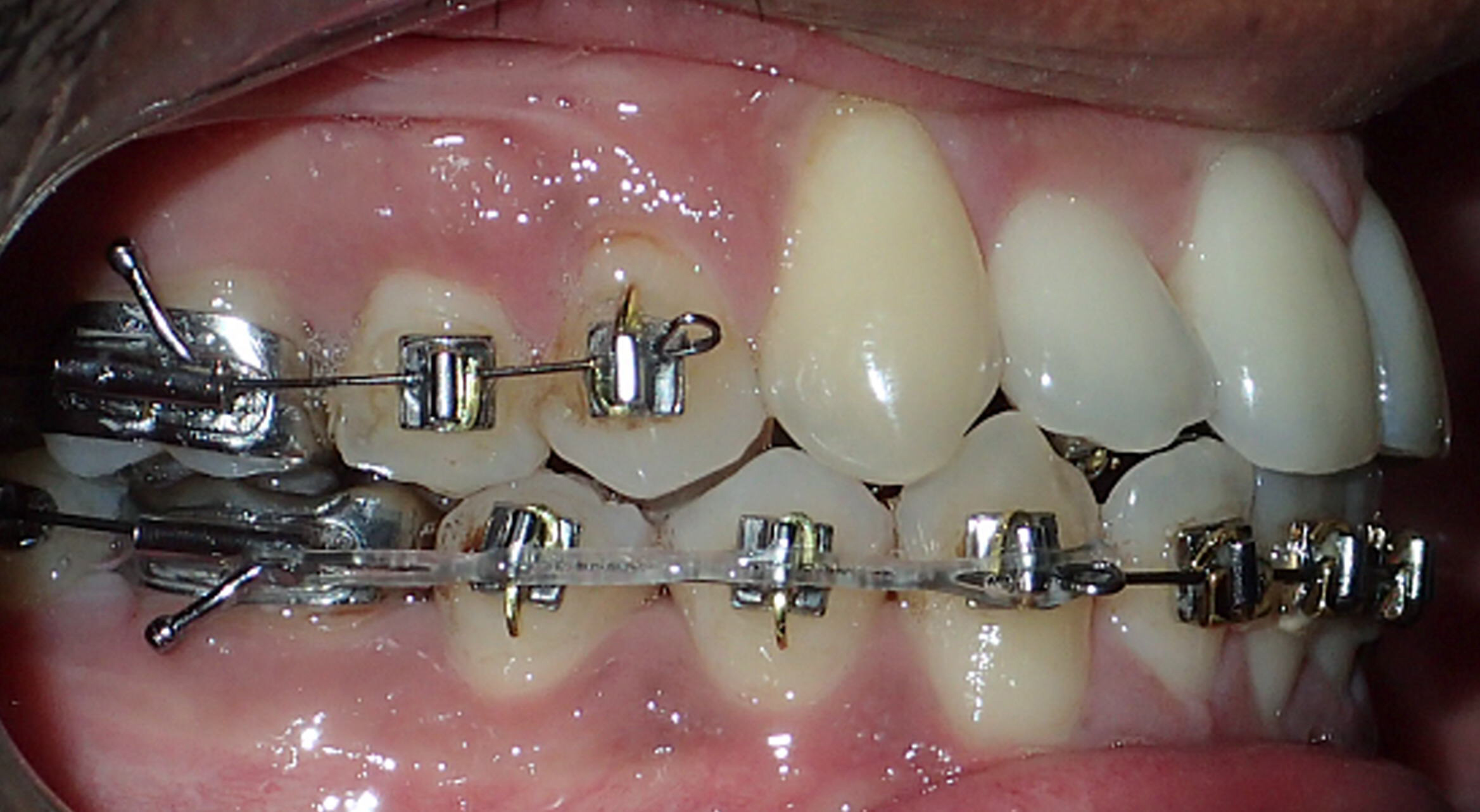
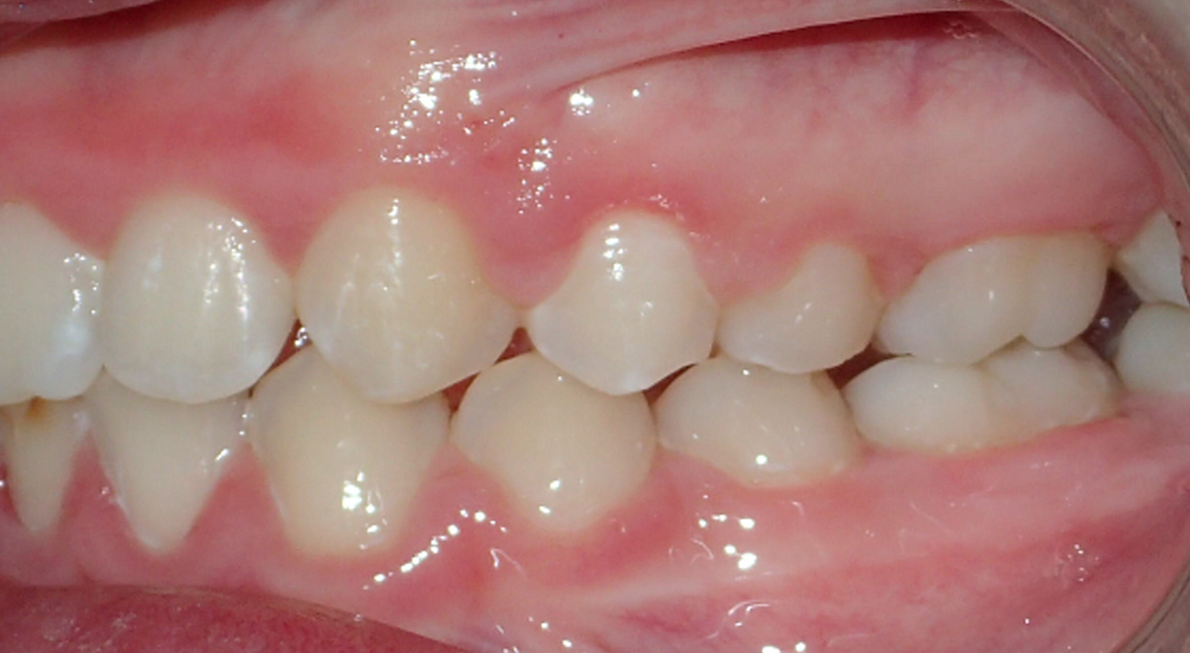
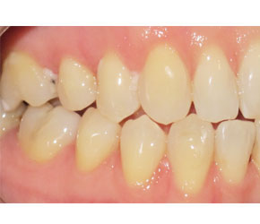
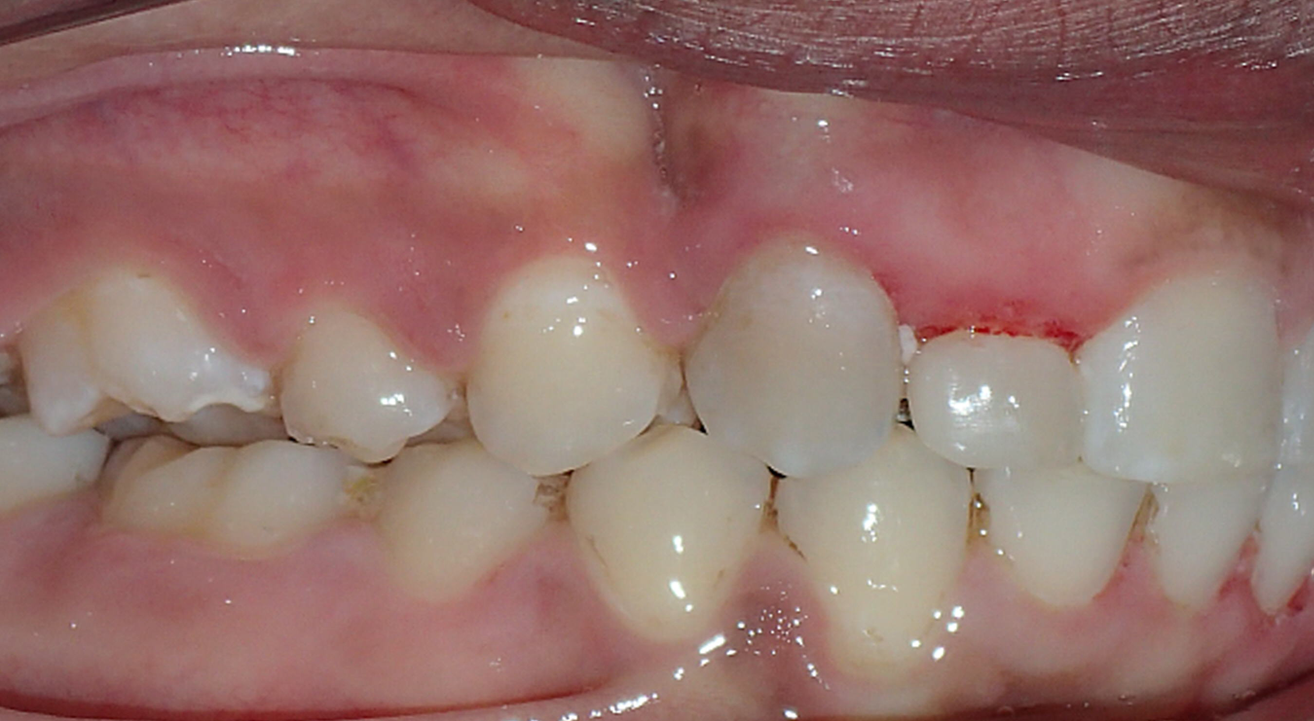
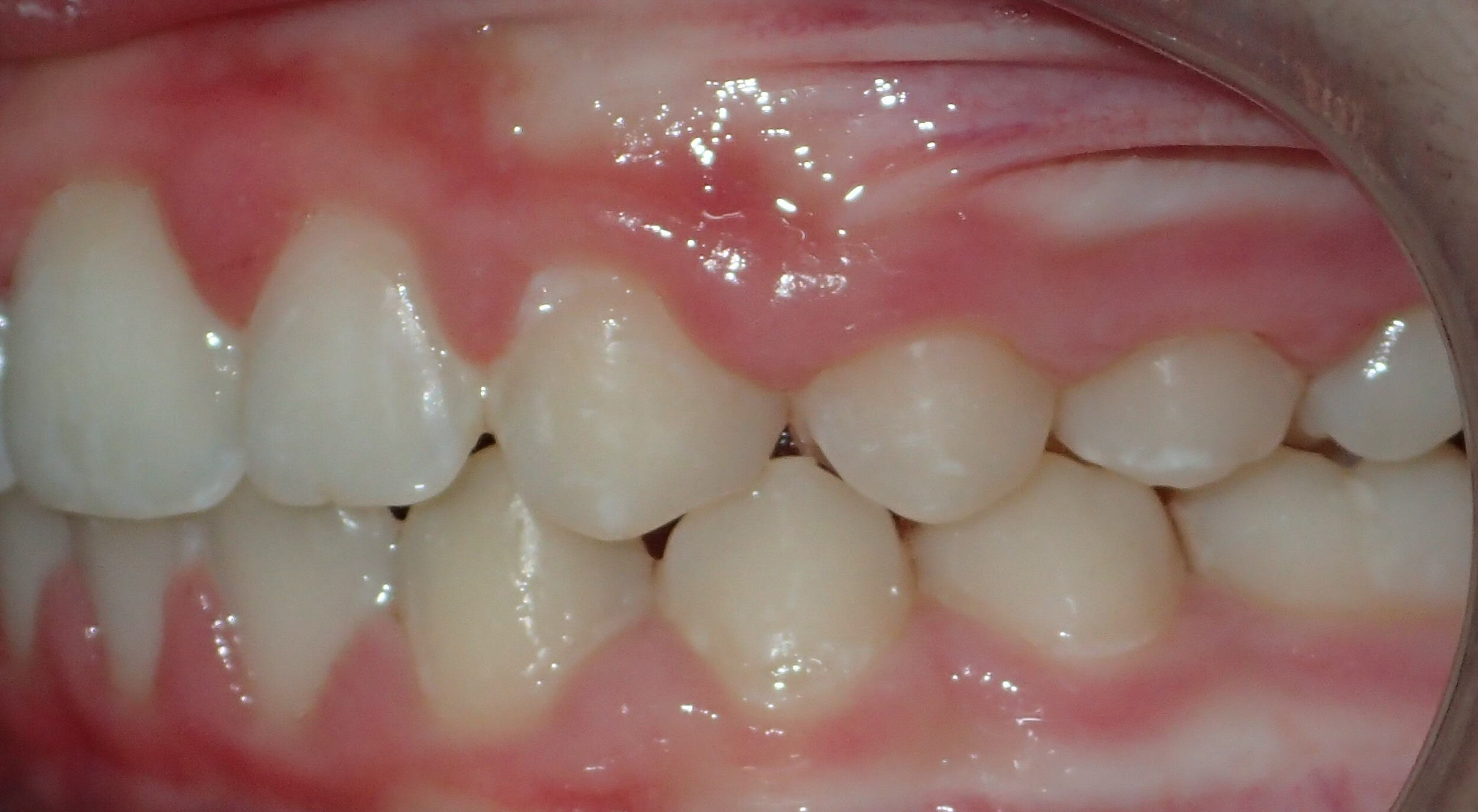
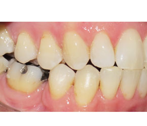
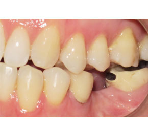
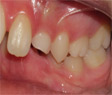
Left Bite
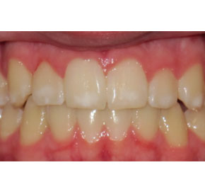
Center Bite
Right Bite
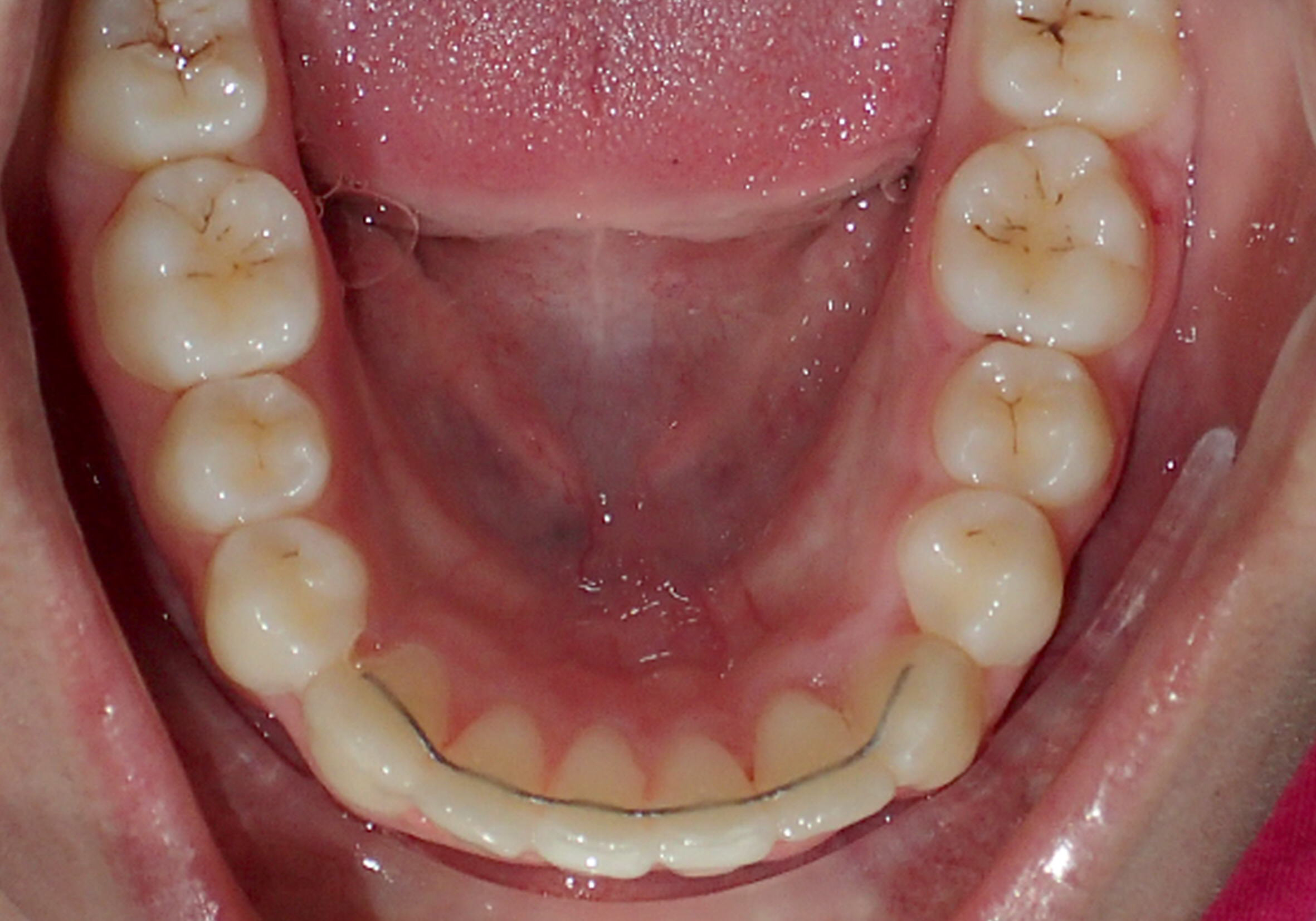
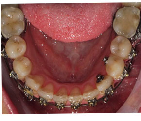
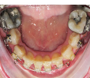
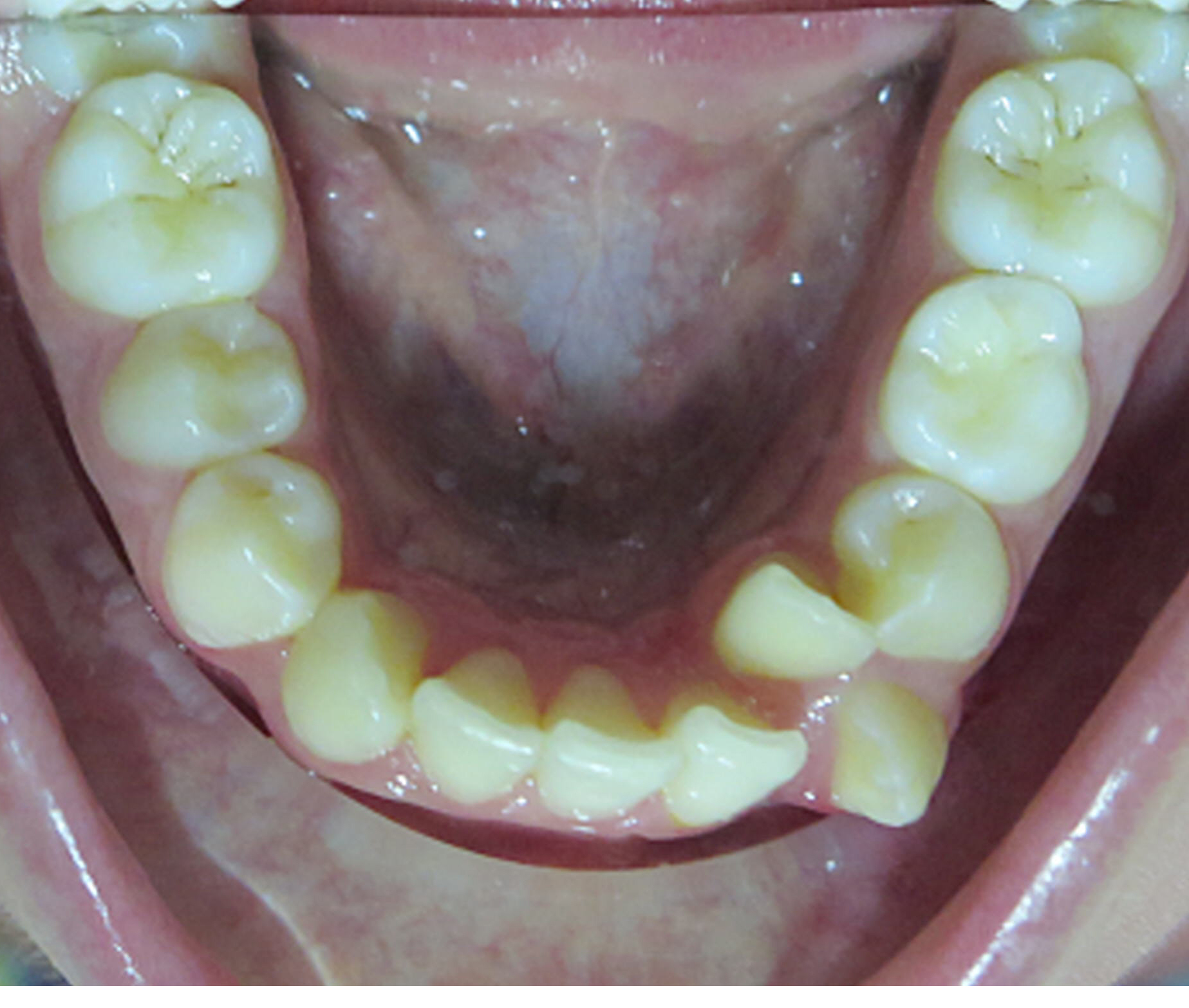
Inside Bottom
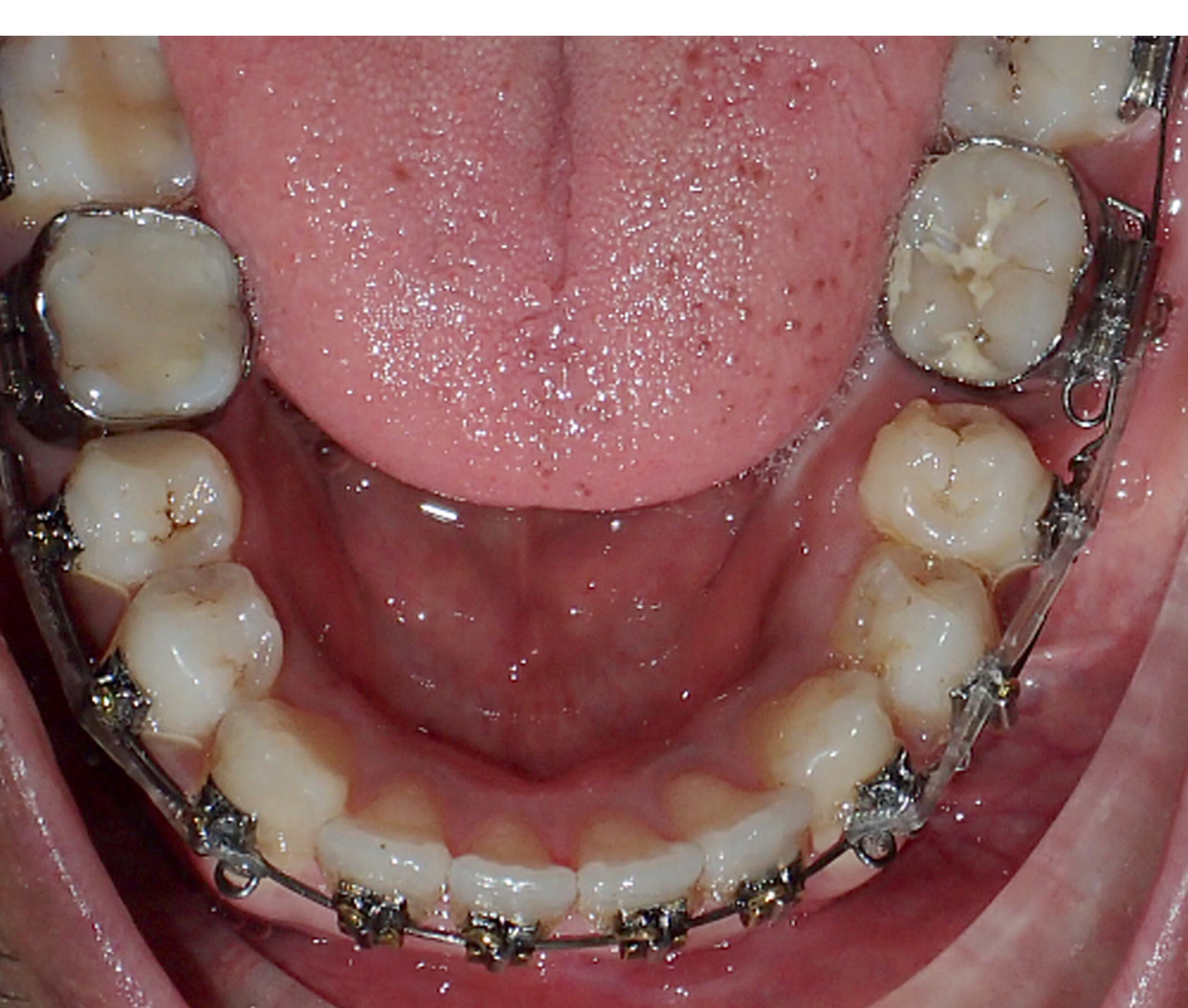
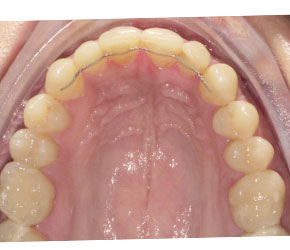
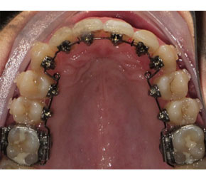
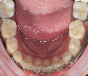
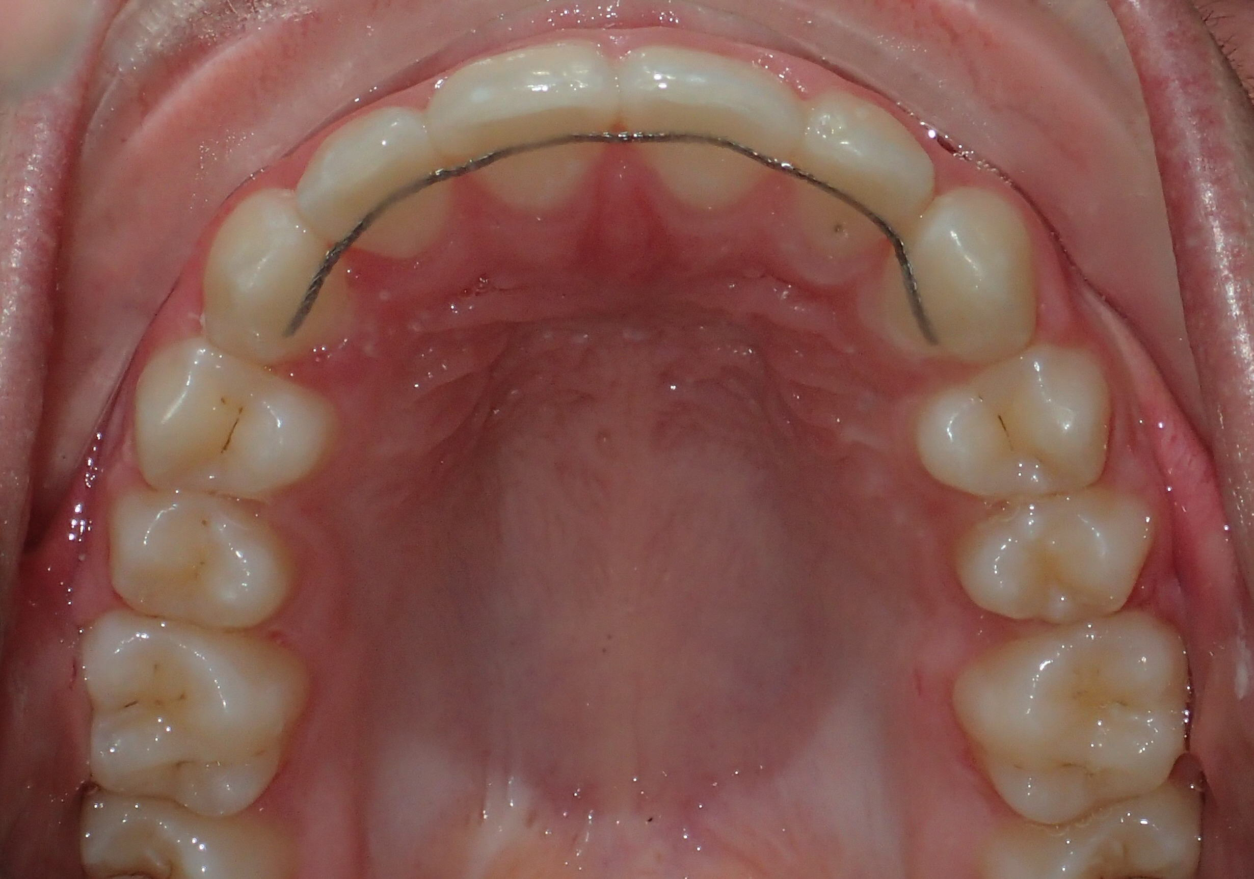
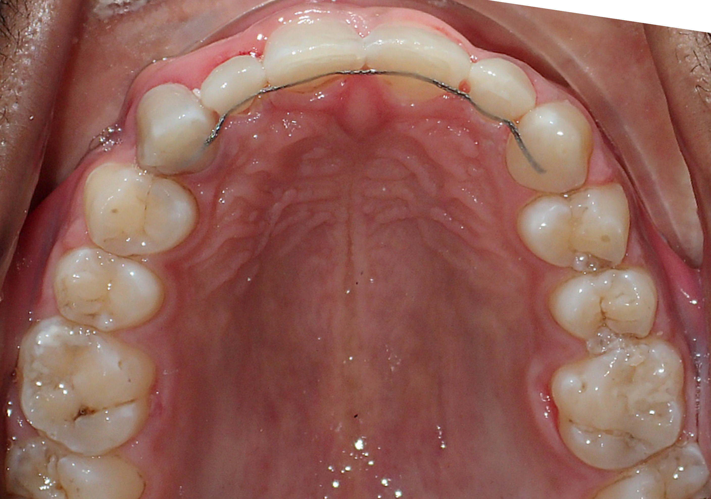
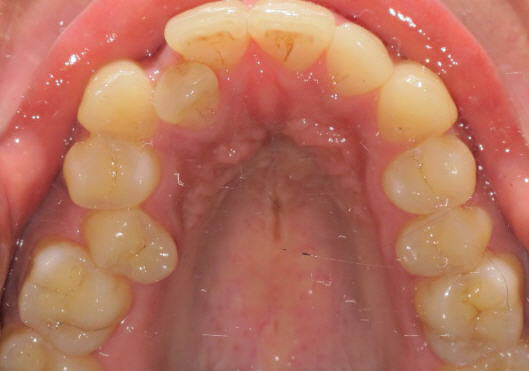
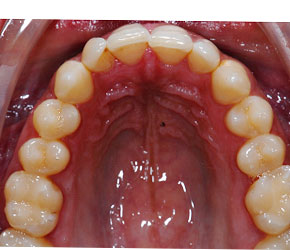
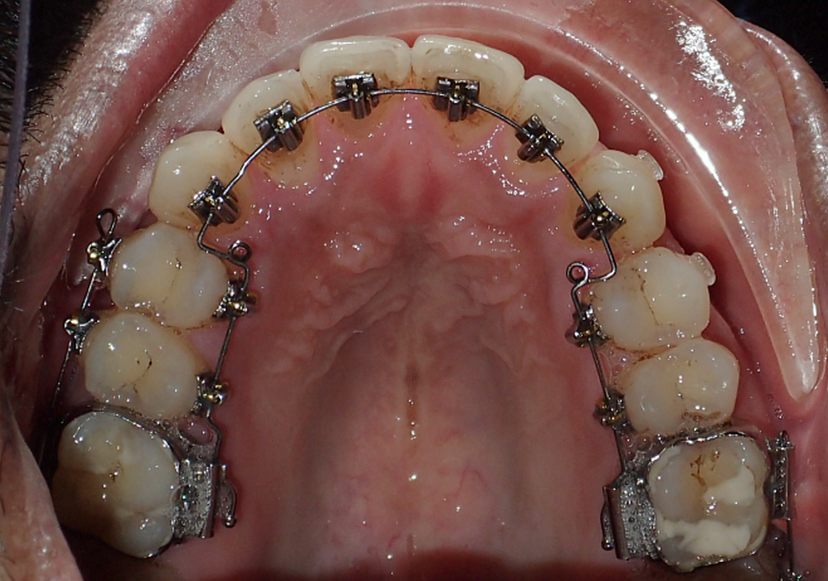
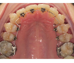
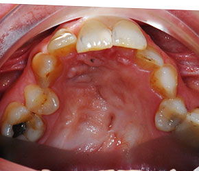
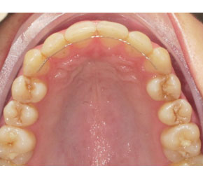
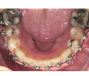
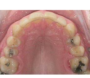
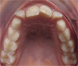
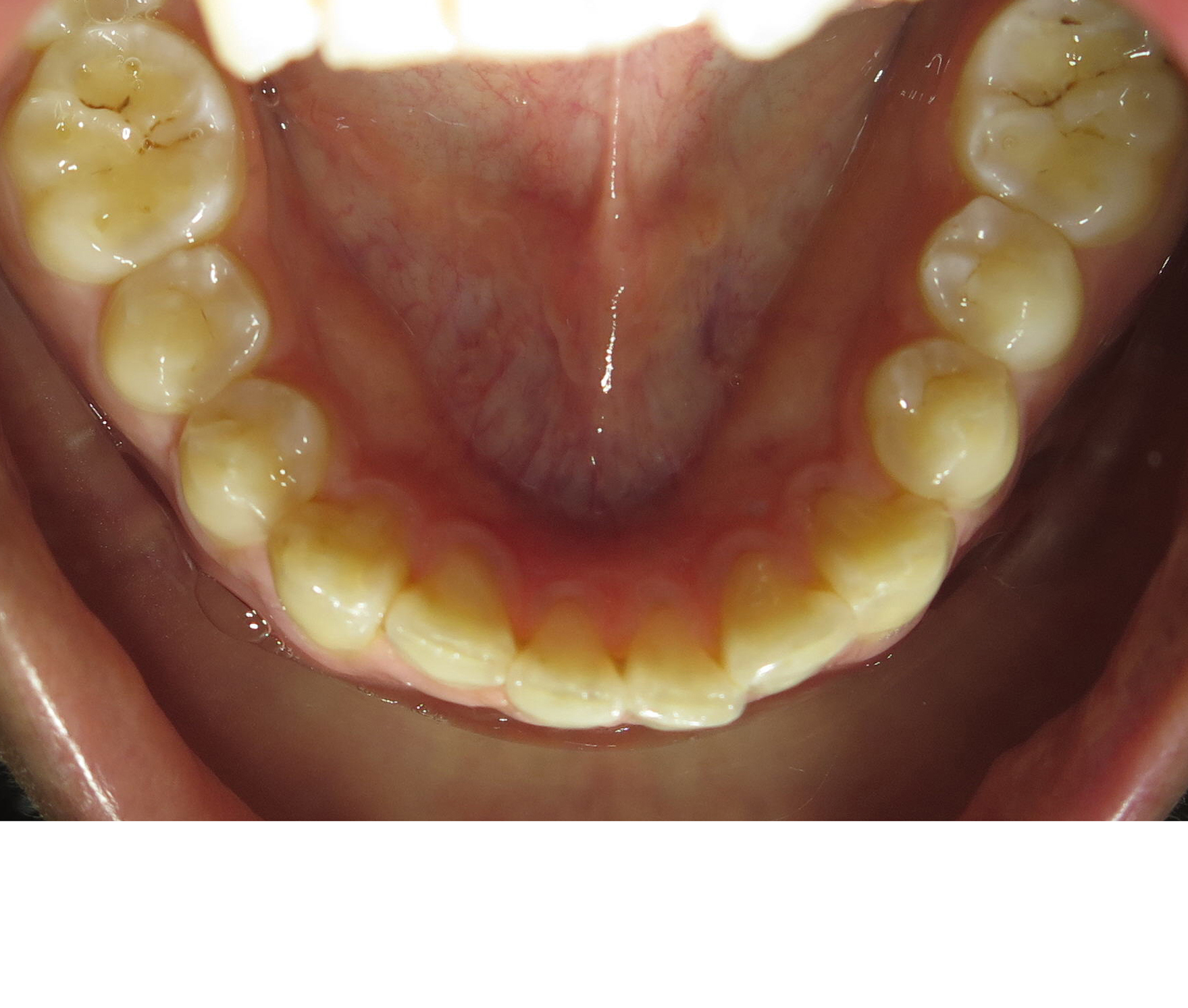
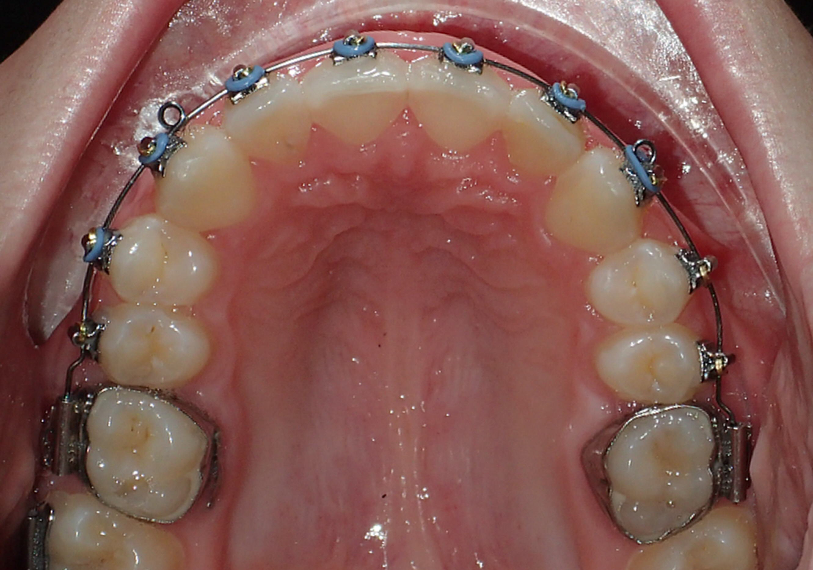
Inside Top
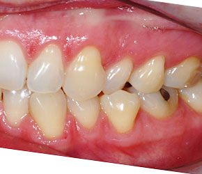
End Result:
Side View
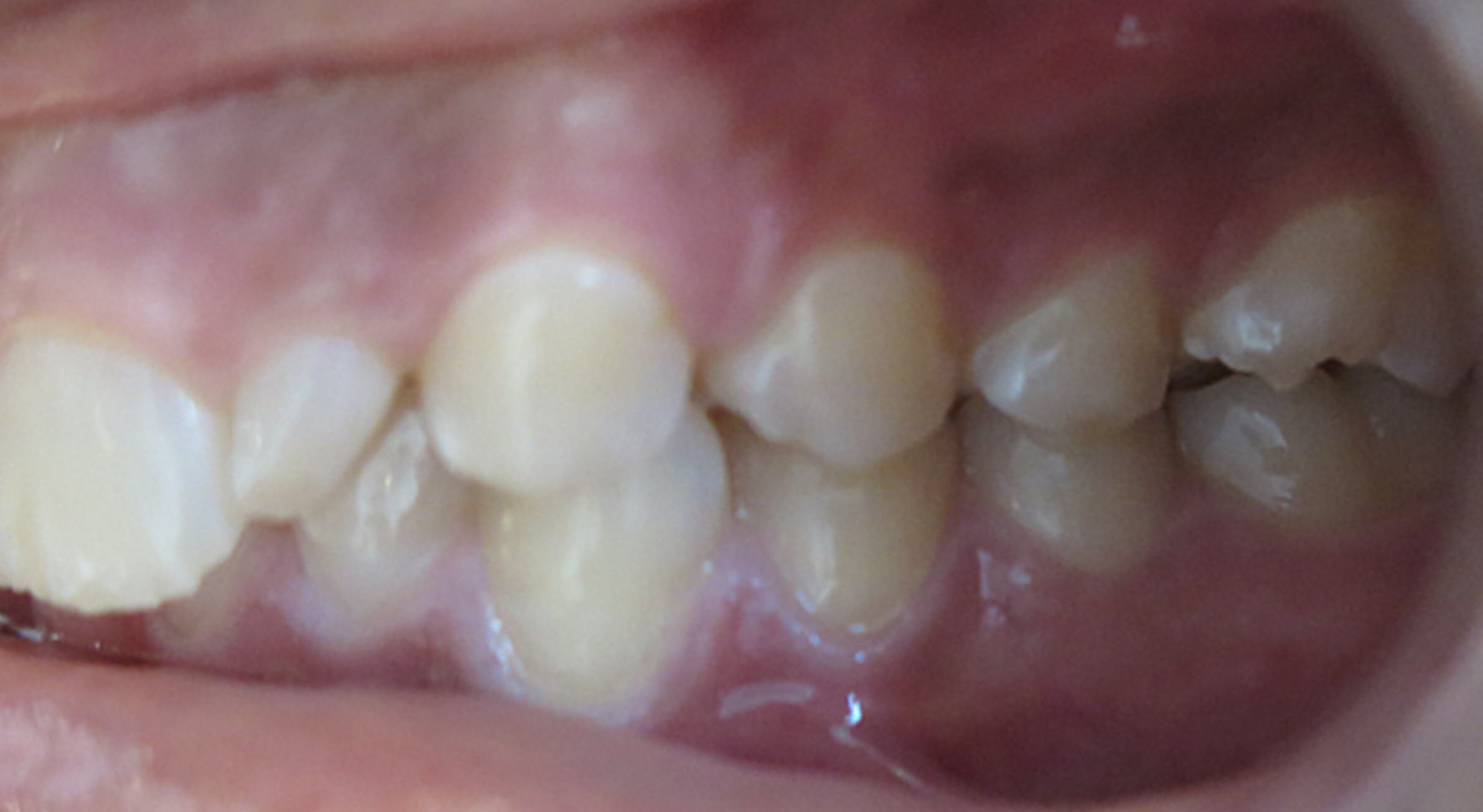
Left Bite
Center Bite
Right Bite
Inside Bottom
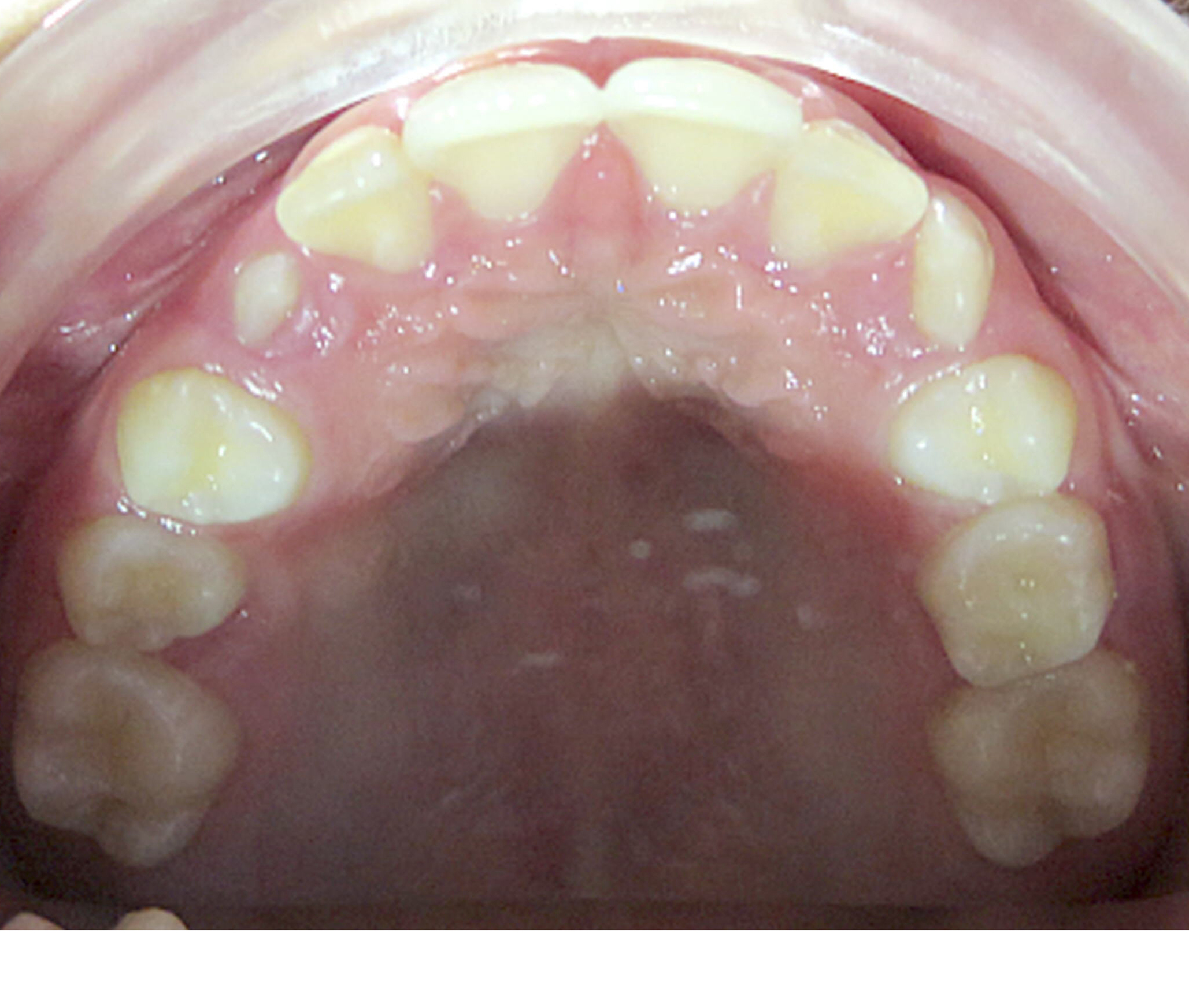
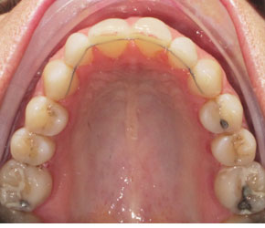
Inside Top
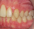
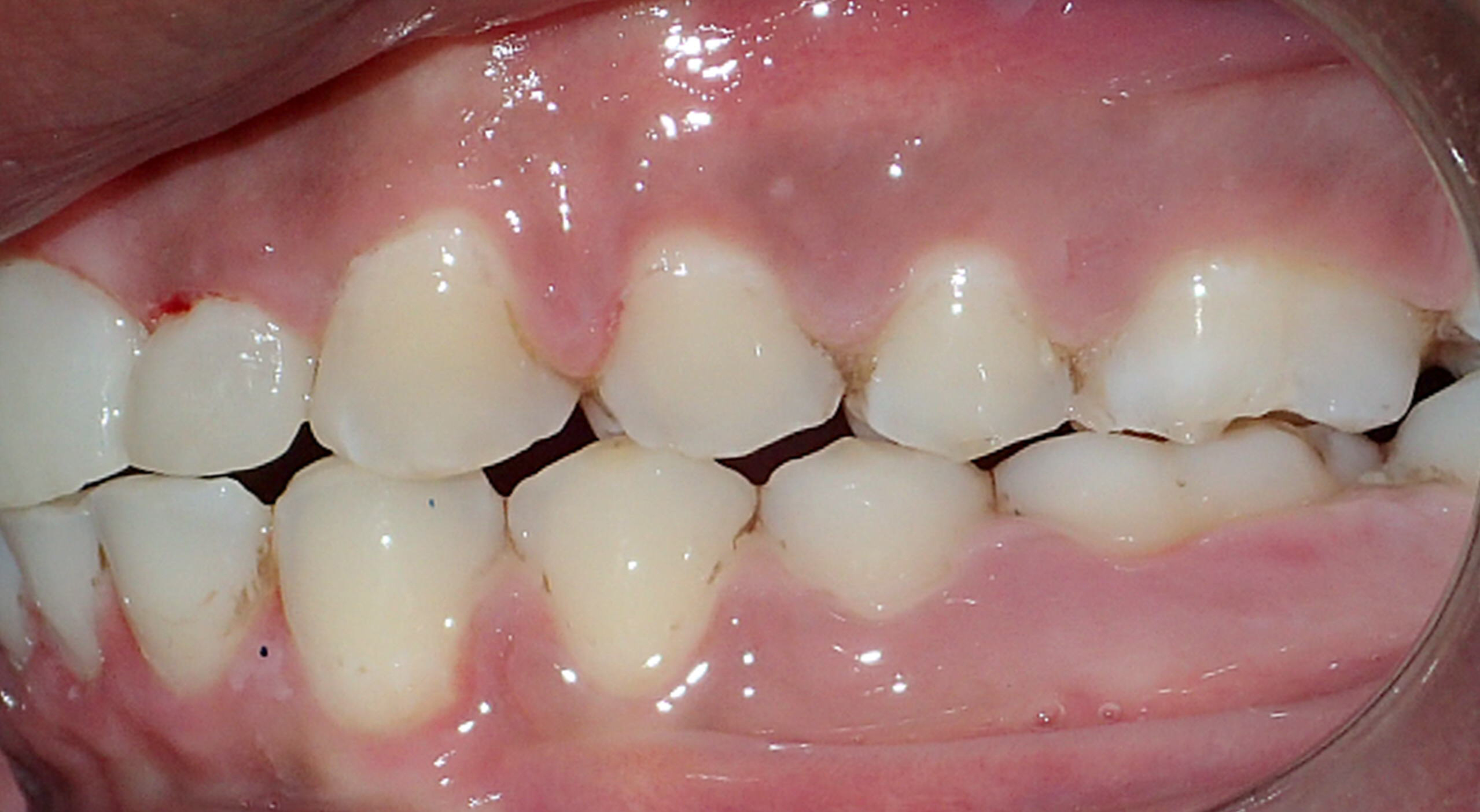
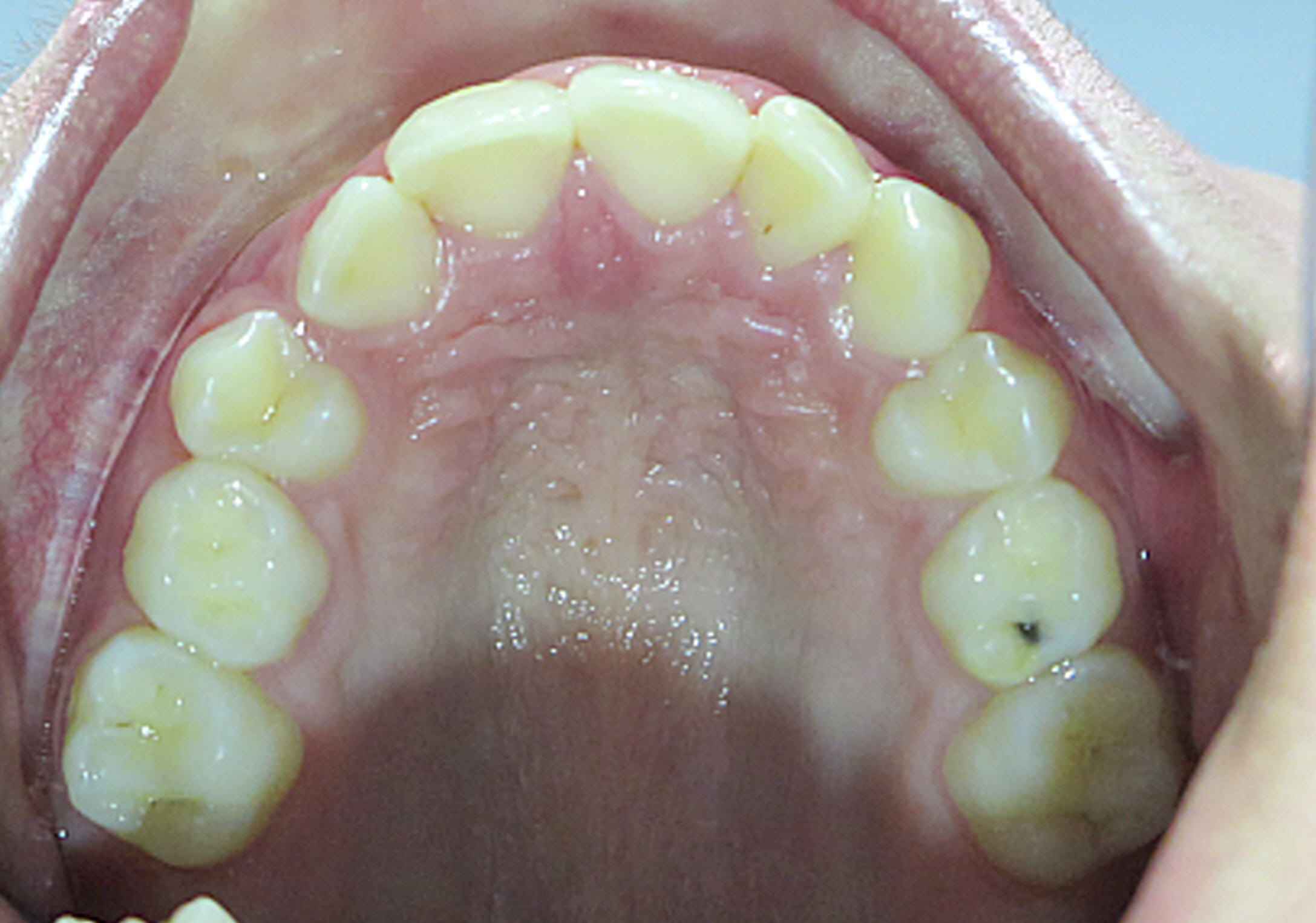
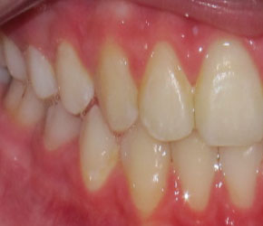
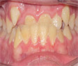
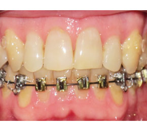
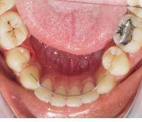
Patients Name:
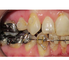
Nadeem Amra
Before Front
2015-10-29
Progress Front
2017-02-22
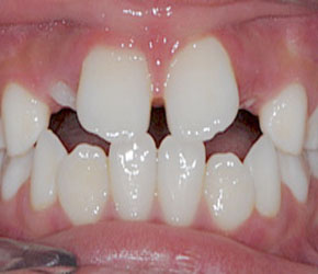
Before:
Side View
Left Bite
Center Bite
Right Bite
Inside Bottom
Inside Top
Progress:
Side View
Left Bite
Center Bite
Right Bite
Inside Bottom
Inside Top
Patients Name:
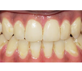
Meinhard van den Berg
Before Front
2010-02-25
Progress Front
2012-10-26
End Result Front
2012-08-11
Progress:
Side View
Left Bite
Center Bite
Right Bite
Inside Bottom
Inside Top
End Result:
Side View
Left Bite
Center Bite
Right Bite
Inside Bottom
Inside Top
Patients Name:
Before Front
2010-07-06
End Result Front
2012-06-11
Before:
Side View
Left Bite
Center Bite
Right Bite
Inside Bottom
Inside Top
End Result:
Side View
Left Bite
Center Bite
Right Bite
Inside Bottom
Inside Top
Patients Name:
Johannes van Zyl
Before Front
2010-08-01
End Result Front
2012-01-31
Before:
Side View
Left Bite
Center Bite
Right Bite
Inside Bottom
Inside Top
End Result:
Side View
Left Bite
Center Bite
Right Bite
Inside Bottom
Inside Top
Patients Name:
Tracey Davidson
Before Front
2011-11-18
Progress Front
2012-11-27
End Result Front
2012-11-28
Before:
Side View
Left Bite
Center Bite
Right Bite
Inside Bottom
Inside Top
Progress:
Side View
Left Bite
Center Bite
Right Bite
Inside Bottom
Inside Top
End Result:
Side View
Left Bite
Center Bite
Right Bite
Inside Bottom
Inside Top
Patients Name:
Alcina Salvador
End Result Front
2012-01-03
End Result:
Side View
Left Bite
Center Bite
Right Bite
Inside Bottom
Inside Top
Patients Name:
Jacquenette Grundling
Before Front
2010-11-03
End Result Front
2012-11-07
Before:
Side View
Left Bite
Center Bite
Right Bite
Inside Bottom
Inside Top
End Result:
Side View
Left Bite
Center Bite
Right Bite
Inside Bottom
Inside Top
Patients Name:
Tamzen Georgiades
Before Front
2010-07-29
End Result Front
2012-05-02
Before:
Side View
Left Bite
Center Bite
Right Bite
Inside Bottom
Inside Top
End Result:
Side View
Left Bite
Center Bite
Right Bite
Inside Bottom
Inside Top
Patients Name:
Madeleine Goetz
Before Front
2011-03-15
Progress Front
2012-03-15
End Result Front
2012-09-30
Before:
Side View
Left Bite
Center Bite
Right Bite
Inside Bottom
Inside Top
Progress:
Side View
Left Bite
Center Bite
Right Bite
Inside Bottom
Inside Top
End Result:
Side View
Left Bite
Center Bite
Right Bite
Inside Bottom
Inside Top
Patients Name:
SONJA DE REUS
Before Front
2011-08-06
Progress Front
2012-01-01
End Result Front
2012-10-25
Before:
Side View
Left Bite
Center Bite
Right Bite
Inside Bottom
Inside Top
Progress:
Side View
Left Bite
Center Bite
Right Bite
Inside Bottom
Inside Top
End Result:
Side View
Left Bite
Center Bite
Right Bite
Inside Bottom
Inside Top
Patients Name:
CORNÉ PRINSLOO
Before Front
2011-02-24
Progress Front
1970-01-01
End Result Front
2012-05-08
Before:
Side View
Left Bite
Center Bite
Right Bite
Inside Bottom
Inside Top
Progress:
Side View
Left Bite
Center Bite
Right Bite
Inside Bottom
Inside Top
End Result:
Side View
Left Bite
Center Bite
Right Bite
Inside Bottom
Inside Top
Patients Name:
Michael Owen Muller
Before Front
2016-04-18
End Result Front
2017-08-25
Before:
Side View
Left Bite
Center Bite
Right Bite
Inside Bottom
Inside Top
End Result:
Side View
Left Bite
Center Bite
Right Bite
Inside Bottom
Inside Top
Patients Name:
Jadine Engelbrecht
Before Front
2016-03-29
End Result Front
2017-09-15
Before:
Side View
Left Bite
Center Bite
Right Bite
Inside Bottom
Inside Top
End Result:
Side View
Left Bite
Center Bite
Right Bite
Inside Bottom
Inside Top
Patients Name:
Marjohanè Kruger
Before Front
2016-08-10
Progress Front
2017-08-03
End Result Front
2017-08-23
Before:
Side View
Left Bite
Center Bite
Right Bite
Inside Bottom
Inside Top
Progress:
Side View
Left Bite
Center Bite
Right Bite
Inside Bottom
Inside Top
End Result:
Side View
Left Bite
Center Bite
Right Bite
Inside Bottom
Inside Top
Patients Name:
Marcus Niemand
Before Front
2012-01-25
End Result Front
2014-04-23
Before:
Side View
Left Bite
Center Bite
Right Bite
Inside Bottom
Inside Top
End Result:
Side View
Left Bite
Center Bite
Right Bite
Inside Bottom
Inside Top
Patients Name:
Maya de Kock
Before Front
2014-06-04
End Result Front
2015-05-08
Before:
Side View
Left Bite
Center Bite
Right Bite
Inside Bottom
Inside Top
End Result:
Side View
Left Bite
Center Bite
Right Bite
Inside Bottom
Inside Top
Patients Name:
Luke Wardlaw
Before Front
2013-11-14
End Result Front
2015-04-24
Before:
Side View
Left Bite
Center Bite
Right Bite
Inside Bottom
Inside Top
End Result:
Side View
Left Bite
Center Bite
Right Bite
Inside Bottom
Inside Top
Patients Name:
Anika Weyers
Before Front
2014-03-19
End Result Front
2015-03-09
Before:
Side View
Left Bite
Center Bite
Right Bite
Inside Bottom
Inside Top
End Result:
Side View
Left Bite
Center Bite
Right Bite
Inside Bottom
Inside Top
Patients Name:
Savana Summerton
Before Front
2011-02-24
End Result Front
2012-08-11
Before:
Side View
Left Bite
Center Bite
Right Bite
Inside Bottom
Inside Top
End Result:
Side View
Left Bite
Center Bite
Right Bite
Inside Bottom
Inside Top
Patients Name:
Gerard Schreuder
Before Front
2011-12-10
End Result Front
2012-06-21
Before:
Side View
Left Bite
Center Bite
Right Bite
Inside Bottom
Inside Top
End Result:
Side View
Left Bite
Center Bite
Right Bite
Inside Bottom
Inside Top
Patients Name:
Grace Foster
Before Front
2011-08-09
Progress Front
2012-05-14
End Result Front
2012-09-09
Before:
Side View
Left Bite
Center Bite
Right Bite
Inside Bottom
Inside Top
Progress:
Side View
Left Bite
Center Bite
Right Bite
Inside Bottom
Inside Top
End Result:
Side View
Left Bite
Center Bite
Right Bite
Inside Bottom
Inside Top
Patients Name:
Michelle Prinsloo
Before Front
2010-01-01
End Result Front
2012-05-14
Before:
Side View
Left Bite
Center Bite
Right Bite
Inside Bottom
Inside Top
End Result:
Side View
Left Bite
Center Bite
Right Bite
Inside Bottom
Inside Top
Patients Name:
Deané Pretorius
Before Front
2010-09-01
End Result Front
2011-06-11
Before:
Side View
Left Bite
Center Bite
Right Bite
Inside Bottom
Inside Top
End Result:
Side View
Left Bite
Center Bite
Right Bite
Inside Bottom
Inside Top